Valgus deformity of the big toe commonly affects women in adulthood, but it also affects men.The deformed base of the thumb does not look aesthetically pleasing.In this case, the patient feels physical discomfort and in the severe stage – pain.Deviation of the big toe is the result of uneven body load on the foot.Such changes have a detrimental effect on the feet and other fingers.
Causes of curvature

Hallux valgus does not occur for no apparent reason.This disease appears and develops under the influence of many causes.Hallux valgus usually affects people who are genetically susceptible to the condition.Doctors note the following causes of deformity of a toe:
- Excess body weight.
- Endocrine diseases.
- Osteoporosis.
- Flat feet.
- Diabetes.
- Psoriasis.
- Arthritis.
- Hormonal changes during pregnancy and old age.
- Wear tight shoes.
- The peculiarities of the profession force a person to endure increased physical activity on his feet.
Stages and varieties
Doctors consider three stages of disease progression:
- Subtle valgus deviation.Redness of the skin appears, as well as small scratches.Discomfort when walking.
- Growth was clearly seen on the thumb.Swelling and pain are observed.
- This form of the disease is considered progressive.A person feels uncomfortable due to constant unbearable pain in the big toe and the entire foot as well as the appearance of keratinized skin.The pain does not go away even when sleeping.
The development of bothersome hallux valgus is influenced by many factors.Experts have identified the following types of finger deformities as a distinct category:
- Cross distortion.Curvature occurs in different directions.Fingers crossed.
- The curvature of the joints is such that they are always in a bent position.In the first stages of development of the pathology, the fingers may be forced to straighten with the help of the hand.If treatment is not started at this time, the fingers will become so stiff that you can no longer straighten them with your hands.Now it is impossible to do without surgery.
- Taylor's distortion.Pathology affecting the little finger.Characterized by the appearance of growths on bones.
- Curvature of the knuckles, like hooks.

Experts warn ballerinas are at risk of developing hallux valgus.Dancing on your toes increases the pressure on your toes, leading to curvature of your toes.Incorrect gait can also cause undesirable results.Triggers get worse even with age.
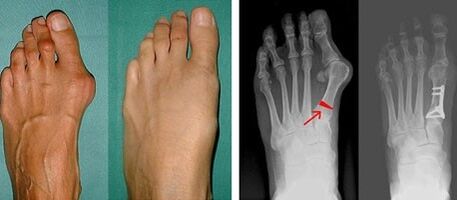
Diagnostic method
If visual examination and X-rays show no findings, the patient will be referred for plantar fasciography to determine the possibility of flat feet.This method involves taking an impression of the foot, on the basis of which shoes or insoles with orthopedic properties are made for the patient.The patient is then prescribed podometry.This method uses computer analysis to determine the pressure of body weight on the foot.Advanced diagnostic results are the basis for choosing the first and second curvature of the toes treatment method.
The disadvantage of X-rays is that it requires radiation to the patient's legs, which many patients do not like.They think this is too harmful a method.In this regard, it is impossible to begin effective treatment of hallux valgus without the results of phalangeal imaging.

This is the best informative diagnostic method.With its help, the doctor not only determines the presence of flat feet, but also determines the condition of the arch of the foot.Computerized testing is the most effective way to detect flat feet.
At the first stage of determining the valgus of the big toe and little toe, the doctor conducts a visual examination.In this way, it determines the stage of development of the pathology.To determine detailed changes in the joints, X-rays and phagocytography are prescribed.
Treatment with medication
It is better to begin gentle treatment of the foot as well as the big toe before the final stage of pathological development occurs.Experts know how to treat this pathology, but they do not know how to cure the advanced form of the disease without surgical intervention.First, doctors determine the cause of the curvature of the fingers, as well as the presence of complicating factors.As is known, the task of drug treatment includes symptomatic treatment.This means pain, inflammation and swelling are eliminated.
Usually, patients are prescribed nonsteroidal anti-inflammatory drugs.In addition to the main function of pain relief and fever reduction.When complications occur, hormonal corticosteroids are often prescribed.If the deformity of the finger is due to diseases of the internal organs, then the joint can be corrected after curing the underlying pathology.In this case, endocrinologists will be involved in this problem along with other highly specialized specialists.Many people try to cure themselves with folk remedies, forgetting that this is possible only at the early stages of the development of the pathology.
If the pathology is detected in the early stages, then the bent thumb is straightened with the help of devices - plastic or silicone pads with orthopedic properties.During treatment you should wear soft, spacious shoes.To straighten curved fingers, orthopedic bases, arch supports and other corrective devices are used.Deformed fingers are fixed with special splints, rings, caps and combs.With the help of such devices, the fingers will be fixed in the correct position.Thanks to orthopedic fixators, further development of deformation of the fingers will stop.
There are two ways to treat hallux valgus.The first is painless deformity correction, without the need for surgical intervention and rehabilitation, the second is surgical treatment.
Surgical treatment methods

Complete cure of hallux valgus is possible only with the help of a surgeon's scalpel.Sometimes just one operation is enough and the patient will forget about the problem forever.The doctor performs surgical intervention taking into account the type of hallux valgus deformity.The most common types of operations are:
- Surgical excision.Only a certain portion of the foot bone is removed.
- Joint resection surgery.The end of the metatarsal bone is removed.
- Bone cutting.It is used to remove the bones of the foot, as well as a small part of the phalanx.
- Cut out.This operation aims to remove the affected soft tissues and then transplant healthy tissues in their place.
- Arthritis.Provides forced immobilization of joints.
- Cut the distal bone.This operation involves reducing the angle between the joints.
- Removal of the inflamed bursa of the big toe.
- Implant installation.
Recovery time after surgery can last up to seven weeks.During these few weeks, special precautions are often taken.First of all, here are the therapeutic exercises that promote:
- improve health status;
- Reduce pain when walking;
- increased tone of leg muscles;
- Install and fix the deformed joint in its natural position.
The duration of the recovery period often depends on the complexity of the operation.To speed up recovery, you should start moving your fingers the next day.After a week, the patient was able to stand up and take precautions, moving slowly.The main thing is to avoid prolonged stress.
After surgery, you will need high-quality soft, roomy shoes.It is purchased on the recommendation of a doctor.By the way, if you start performing therapeutic exercises from the very beginning of the development of hallux valgus, you will not only not need surgical intervention, but also not spend money on a lot of equipment, ointments and drugs.
Experts say that surgical treatment options give almost one hundred percent positive results.This gentle treatment requires no anesthesia and causes no stress or psychological distress.However, painless treatments cannot save a person from the final stages of the disease.
preventive measures

Preventive measures are quite simple - wear comfortable shoes with a wide toe, the inside of which does not put pressure on the toes.Joints in particular and feet in general have the ability to withstand the weight accumulated during human growth without harm.Therefore, monitoring body weight to avoid obesity is very important.
One of the effective preventive exercises is as follows: a person sits in a chair, puts his feet on the floor, moves them with his fingers.
The next exercise involves walking barefoot on the floor, alternating walking on your toes and heels.
Simple gymnastics are mastered quickly, which leads to more complex physical exercises.You can then perform actions like picking up a pencil or any other object on the floor.
It is better to prevent thumb deformity than to then queue up at medical facilities to receive a doctor's recommendation on choosing an effective treatment.

























